3D Smile Studio
Dr. Ali Ghodratipour (DMD)
Cosmetic Dentist
Home
Gallery
Services
Contact
☰
Transform Your Smile,
Transform Your Confidence
Expert composite bonding in Dublin, Ireland
Book Now
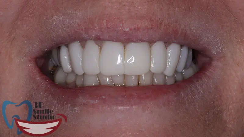
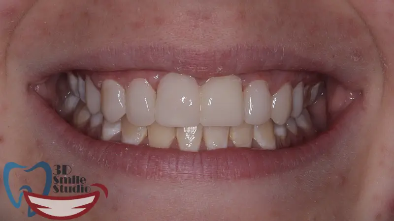
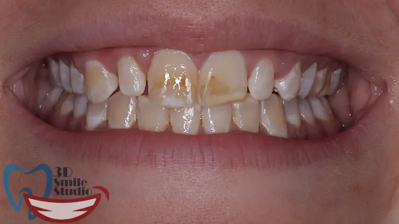
Real Results. Real Smiles.
❮
Before
After
Before
After
Before
After
Before
After
Before
After
❯